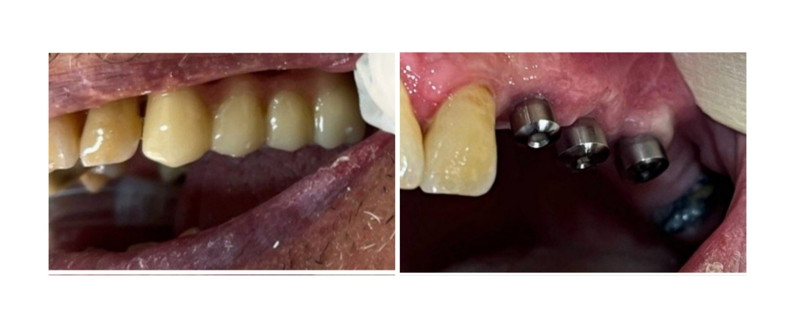
برای مشاهده نمونه کار از خدمات دندانپزشکی مروانیک، اینجا کلیک کن.
بالا کلیک کن تا نمونه کارامون رو ببینی!!!
برترین متخصصین ایرانی
بهترین متخصص ها را گرد هم آوردیم تا با کیفیت ترین خدمات را ارائه دهیم
دکتر کورش معزی
متخصص جراحی لثه و ایمپلنت
دکتر سمانه غلامپور
دندانپزشک زیبایی
دکتر حمیده مطهری فر
دندانپزشک
درخواست مشاوره
درخواست مشاوره
۱۲۰۰ عدد
مشاوره های روزانه
۱۲۰۰ عدد
مشاوره آنلاین
۸,۶۲۵ ساعت
عضو ثابت
۷۲,۰۰۰ نفر
ارسال فوری محصولات
به مناسبت عید نوروز ارسال کلیه محصولات تا آخر اسفند رایگان میباشد
ارسال رایگان
بدون محدودیت در خرید
بازگشت پول
۱۴ روز مهلت برگشت پول
پشتیبانی ۷ / ۲۴
پشتیبانی آنلاین دوستانه ما
تخفیف های ویژه
همیشه با تخفیف هستیم
ارسال رایگان
بدون محدودیت در خرید
بازگشت پول
۱۴ روز مهلت برگشت پول
زینب
4 از 5
زرین
4 از 5
24***0912
5 از 5
02***0935
5 از 5
07***0919
5 از 5





