نویسنده: admin
مرتب سازی بر اساس:
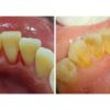
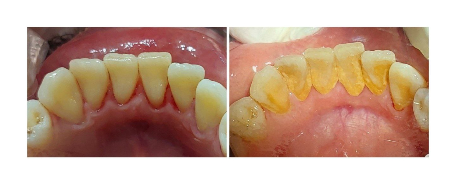
جرمگیری دندان
6 دقیقه

جرمگیری دندان

جرمگیری دندان گامی اساسی برای سلامت دهان و دندانجرمگیری دندان یکی از مهم‌ترین و اساسی‌ترین روش‌ها در حفظ سلامت دهان و دندان است. این فرآیند به منظور حذف پلاک و جرم‌های سخت شده از سطح دندان‌ها و زیر لثه انجام می‌شود. اگرچه مسواک زدن و نخ دندان کشیدن روزانه از اهمیت بالایی برخوردارند، اما نمی‌توانند […]
درمان ریشه
6 دقیقه

درمان ریشه

درمان ریشه دندان  راهنمای جامع برای حفظ سلامت دندان درمان ریشه دندان، که با نام کانال ریشه نیز شناخته می‌شود، یک روش درمانی در دندانپزشکی است. این درمان جهت حفظ دندان‌های آسیب‌دیده یا عفونی شده به کار می‌رود. این روش به منظور حذف عفونت از داخل دندان و جلوگیری از گسترش آن به بافت‌های اطراف […]
ایمپلنت دیجیتال
5 دقیقه

ایمپلنت دیجیتال

ایمپلنت دیجیتال در عصر حاضر، پیشرفت‌های فناوری در حوزه‌های مختلف علوم پزشکی و دندانپزشکی تأثیرات عمیقی بر فرآیندهای درمانی داشته است. یکی از این پیشرفت‌ها، ورود فناوری‌های دیجیتال به دنیای ایمپلنت‌های دندانی است که به اصطلاح به آن “ایمپلنت دیجیتال” گفته می‌شود. این فناوری نوین، با ترکیب علم و تکنولوژی، مزایای چشمگیری را برای بیماران […]
عصب کشی
5 دقیقه

عصب کشی

عصب‌کشی (درمان ریشه) راهکاری برای حفظ دندان‌های طبیعی درمان ریشه چیست؟درمان ریشه که به عصب‌کشی نیز معروف است، یکی از روش‌های دندانپزشکی برای حفظ دندان آسیب‌دیده یا عفونی است. این درمان شامل برداشتن پالپ آسیب‌دیده یا عفونی داخل دندان، تمیز کردن کانال‌های ریشه و سپس پر کردن و مهروموم کردن آنها است. هدف اصلی این […]
ترمیم دندان
5 دقیقه

ترمیم دندان

ترمیم دندان با کامپوزیت و آمالگام مقدمه ترمیم دندان از مهم‌ترین جنبه‌های دندانپزشکی است که می‌تواند نه تنها به بهبود سلامت دهان و دندان بلکه به بهبود زیبایی و اعتماد به نفس بیماران نیز کمک کند. دو مواد مرسوم برای ترمیم دندان وجود دارند: کامپوزیت و آمالگام.   هرکدام از این مواد ویژگی‌ها و مزایا […]
بهداشت دهان و دندان
5 دقیقه

بهداشت دهان و دندان

بهداشت دهان و دندان بهداشت دهان و دندان یکی از جنبه‌های کلیدی سلامت عمومی است که تأثیر بسزایی بر کیفیت زندگی افراد دارد. سلامت دهان و دندان نه تنها بر توانایی جویدن و صحبت کردن تأثیر می‌گذارد، بلکه با بیماری‌های سیستمیک مانند دیابت و بیماری‌های قلبی نیز مرتبط است. در این مقاله، به بررسی اهمیت […]
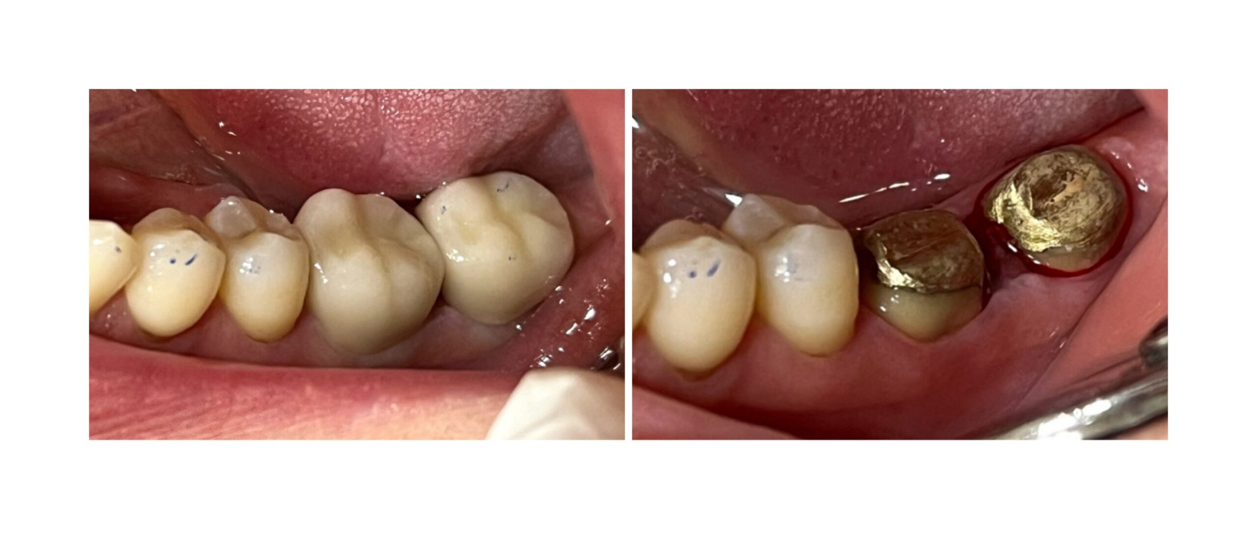
ایمپلنت دندان
6 دقیقه

ایمپلنت دندان

ایمپلنت دندان: جایگزینی برای دندان‌های از دست رفتهایمپلنت دندان یکی از پیشرفته‌ترین و موثرترین روش‌ها برای جایگزینی دندان‌های از دست رفته است. این روش به دلیل دوام بالا، ظاهر طبیعی، و تأثیر مثبت بر سلامت دهان و دندان، انتخابی محبوب در دندانپزشکی مدرن محسوب می‌شود. در این مقاله، به بررسی کامل جنبه‌های مختلف ایمپلنت دندان، از […]
کامپوزیت دندان
7 دقیقه

کامپوزیت دندان

کامپوزیت دندان: راهنمای کامل برای زیبایی لبخند کامپوزیت دندان یکی از روش‌های محبوب و رایج در دندانپزشکی زیبایی است که برای بهبود ظاهر دندان‌ها و ایجاد لبخندی جذاب مورد استفاده قرار می‌گیرد. این روش به دلیل سرعت انجام، هزینه مقرون‌به‌صرفه، و نتایج طبیعی طرفداران زیادی پیدا کرده است. در این مطلب به بررسی کامل جوانب […]
لمینیت دندان
5 دقیقه

لمینیت دندان

لمینیت دندان: همه چیز در مورد زیبایی لبخند امروزه داشتن یک لبخند زیبا و دندان‌های خوش فرم به یکی از مهم‌ترین عامل‌های زیبایی برای بسیاری از افراد تبدیل شده است. یکی از مهم‌ترین روش‌های موجود برای بهبود ظاهر دندان‌ها لمینیت دندان است. لمینیت یک روکش نازک از مواد مخصوصی است که به طرحی طبیعی ساخته […]